I’m writing from Goffstown, New Hampshire, where I’m in the next phase of my surgery recovery.
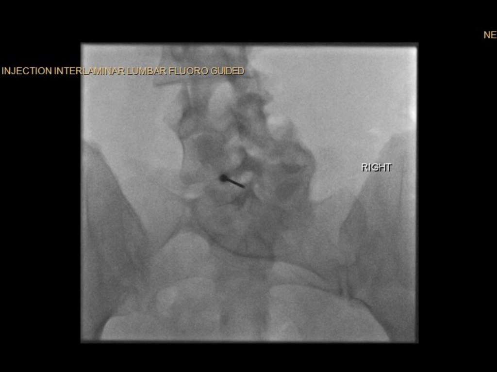
First, some test results. My GI found a medium-sized, high-risk polyp in my colon, but good news is it is stage 0 and she removed all of it. Her recommendation is to repeat the colonoscopy in 3 years. My pap test came back normal, so I’m still cervical cancer free! My ultrasound showed a lesion on my right breast, so I have to get a second ultrasound to further diagnose it. My PCP said that about 70% of patients she sends for those do not have breast cancer, so that was reassuring. She also ordered a thyroid ultrasound because my thyroid antibodies were high, which can sometimes indicate a tumor there. I’m optimistic that everything will be fine. But I’m also really tired of having new things added to my list of medical to-dos and hope-nots.
On to the better news. I had an amazing time at Bionicon last weekend! It was so transformative sharing space with more than 50 other folks with scoliosis and spinal fusions. Meredith and her team did an incredible job, and I did not want the weekend to end!

A major highlight was the dance workshop that Meredith taught.
The lyrics and choreography were cathartic, and I can only describe the experience of dancing with other scoliosis warriors as magical. One of the ladies in the class was also from New Orleans and had a service dog, which made me miss my Eliza Jane terribly but was also healing in a serindipitous way.

After not driving at all for 4 months, I have made 5 3-hour trips in the last 2 weeks. I’ve enjoyed being back behind the wheel, especially driving through Connecticut and Massachusetts for the first time, but my body has not. I took it easy my first week here, trying to balance rest and movement before beginning the 3-week Scoliosis program at Coppola Physical Therapy.
I had my first ASMI session today, and it was really cool! During the treatment, I felt nauseous and light headed and then straight-up high. My therapist said that is normal since we are shifting the spinal cord around. I felt really good when I got off the table, and I already felt a bit straighter. We’re going to do a “before” picture before my next session, so that’ll be great to see the visual difference after the treatments.
This past weekend, I was able to explore 2 nature trails with the dogs. Saturday, we walked the Goffstown Rail Trail.

Sunday, we walked through Stark Park.



Being surrounded by tall trees is really calming for me. I love how small they make me feel, and by extension, how small they make my problems feel. I also had a super cool twisty tree moment that seemed to reflect my spine back to me.

It’s all beautiful.
Wishing everyone a belated Happy Earth Day 🌎
Love,
Renée





































































You must be logged in to post a comment.